Cytopath Second Opinion
What it is
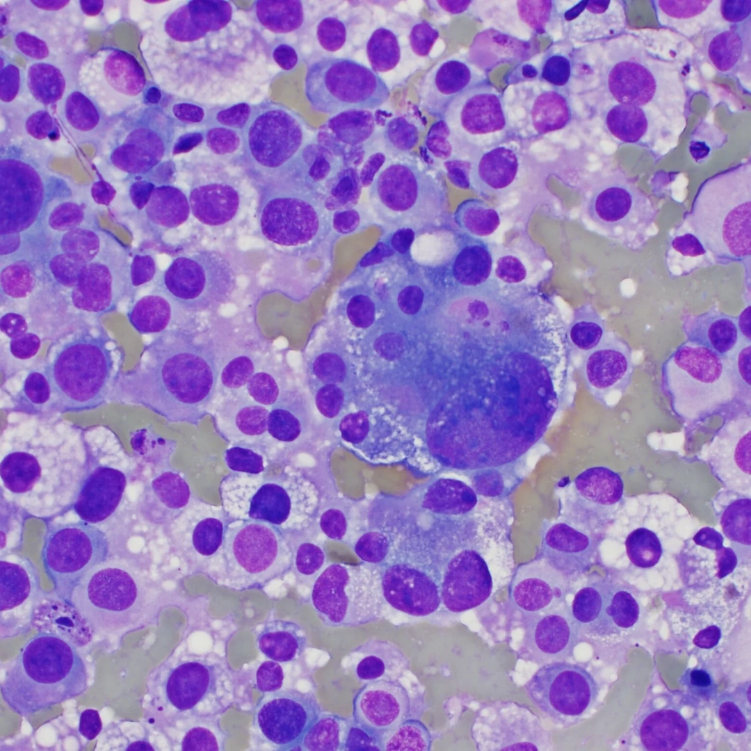
The Cytopath Second Opinion service provides an expert re-evaluation of cytology slides and reports by a specialist pathologist. Cytopathology involves the microscopic examination of cells obtained from body fluids, fine-needle aspirations, or Pap smears to detect infections, precancerous changes, or cancers. A second opinion helps confirm the diagnosis and ensures accurate interpretation before treatment decisions are made.
Uses
This service is used when patients or doctors want to confirm or clarify cytology findings, especially in complex or borderline cases. It is particularly important in diagnosing cancers, precancerous lesions, or atypical cell findings in samples from the cervix, lungs, thyroid, breast, lymph nodes, or other body sites. A second opinion reduces the risk of misdiagnosis and supports better treatment planning.
When It May Be Needed
You may seek a cytopath second opinion if your initial report is inconclusive, shows atypical cells, suggests malignancy, or if you have doubts about the accuracy of the diagnosis. It is also recommended when major treatment decisions—such as surgery, chemotherapy, or radiation—depend on the cytology result.
Outcomes of Review
Concordant Opinion: Confirms the original findings, providing reassurance and confidence in the diagnosis and treatment plan.
Divergent Opinion: May identify missed abnormalities, downgrade a suspected malignancy, or suggest further testing such as biopsy, immunohistochemistry, or molecular studies for clarification.
Risks
There are no direct medical risks since this service involves review of existing samples and reports. The main consideration is ensuring proper transfer of slides and records to the reviewing pathologist.



Reviews
There are no reviews yet.