Sputum for Eosinophil
What it is
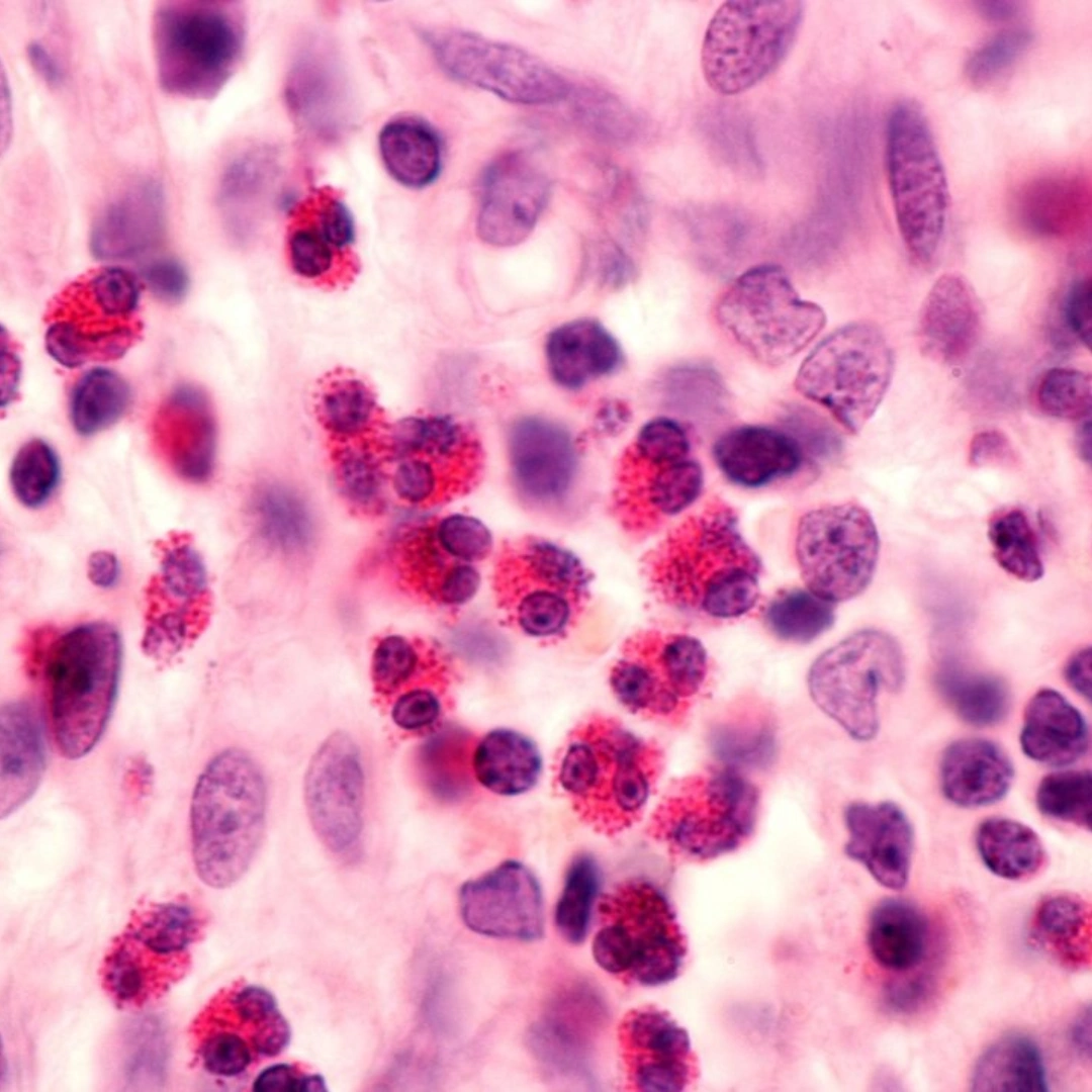
The Sputum for Eosinophil test examines a sample of mucus (sputum) from the lungs to check for the presence and number of eosinophils, a type of white blood cell. Eosinophils are commonly elevated in allergic reactions, asthma, and certain respiratory conditions. This test helps in identifying airway inflammation and guiding treatment for respiratory diseases.
Uses
This test is used to:
- Detect eosinophilic airway inflammation in asthma.
- Differentiate between allergic and non-allergic respiratory disorders.
- Guide treatment in asthma management (e.g., steroid therapy).
- Support diagnosis of chronic bronchitis, COPD with eosinophilic involvement, or other lung conditions.
- Monitor response to anti-inflammatory or anti-asthmatic treatments.
Symptoms / Conditions That May Lead to the Test
Doctors may recommend this test if you have:
- Chronic cough or wheezing.
- Shortness of breath, especially at night or early morning.
- Suspected asthma or poorly controlled asthma.
- Allergic respiratory conditions such as allergic rhinitis.
- Recurrent chest tightness or breathing difficulty without clear cause.
Abnormal Results
- Increased Eosinophils in Sputum: Suggests eosinophilic asthma, allergic bronchitis, or other hypersensitivity-related lung conditions. May also be seen in parasitic infections affecting the lungs.
- Normal/Low Eosinophils: Suggests non-eosinophilic asthma, bacterial infection, or other non-allergic respiratory disorders.
Results are interpreted along with blood eosinophil count, spirometry, and clinical findings for accurate diagnosis.
Risks
The test is safe and non-invasive. Risks are minimal but may include:
- Discomfort while coughing up sputum.
- Difficulty in sample collection if sputum production is low.
- Potential contamination with saliva if not collected properly.



Reviews
There are no reviews yet.